Dausa राज्य स्तर पर सिलिकोसिस से पीड़ित जिले के 88 मरीजों पर संदेह, चिकित्सा समीक्षा के आदेश
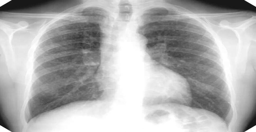
वर्ष 2021 तक सिलिकोसिस से पीड़ित लोगों के प्रमाण पत्र ऑनलाइन किए जाते थे। संबंधित चिकित्सकीय जांच के बाद प्रमाण पत्र भी बनवाए गए। इसके बाद इन्हें ऑनलाइन किया जाने लगा। अब सबसे पहले ई-मित्र पर ऑनलाइन आवेदन करना होगा। फिर मरीज के एक्स-रे के आधार पर संबंधित ब्लॉक के डॉक्टर तय करते हैं कि वह व्यक्ति सिलिकोसिस से पीड़ित है या नहीं। ब्लॉक या जिला स्तर पर जांच के बाद सिलिकोसिस के मरीजों का एक्स-रे किया जाता है। उसी के आधार पर बीमारी की पहचान की जाती है। फिर उस एक्स-रे को जयपुर भेजा जाता है, जहां एक्स-रे देखकर यह तय हो जाता है कि मरीज सिलिकोसिस से पीड़ित है या नहीं। दाेसा से भेजे गए 88 एक्स-रे के आधार पर इसे सिलिकोसिस रोग नहीं माना जा रहा है।
जिले में कुल 88 लोगों को संदिग्ध माना गया है, जिनमें सबसे अधिक 34 लोग महवा के हैं. दूसरे नंबर पर सिकराय प्रखंड है, जहां सिलिकोसिस से पीड़ित 27 लोगों को देखते हुए की गई एक्स-रे रिपोर्ट संदिग्ध मानी जा रही है. दाइसा में 11, बांदीकुई में 14 और लालसात प्रखंड में सिर्फ 2 लोग हैं. इन सभी लोगों से अब दोबारा पूछताछ की जाएगी। सभी को मेडिकल बोर्ड के सामने पेश होना होगा। इसके बाद उनका ताजा एक्स-रे किया जाएगा। इसके बाद ही यह तय हो पाएगा कि कैन-कैन वास्तव में सिलिकोसिस से पीड़ित हैं। इसमें सरकार की ओर से पीड़िता को पालक योजना का लाभ देने के साथ ही रु. 1500. पेंशन भी मिलती है।
